L'OMNIPRATIQUE
L’ENDODONTIE (LE SOIN DE LA PULPE DENTAIRE)
Atteinte carieuse importante ou d’une fracture dentaire, il est nécessaire d’avoir recours à un traitement endodontique, aussi appelé dévitalisation.
Lors d’une dévitalisation, le but est de nettoyer le canal et d’obturer hermétiquement et définitivement la racine, permettant ainsi d’éviter tout risque infectieux. Une dent soignée par un traitement de racine est complétée d’une reconstitution de la couronne dentaire.
Dans certains cas, le canal est obstrué ou présente une anatomie très courbée, ce qui empêche d’effectuer le nettoyage correctement. C’est pourquoi il existe désormais une branche spécifique de la médecine dentaire, l’endodontie, qui consiste à traiter les pathologies liées à la pulpe dentaire.
LA PARODONTOLOGIE
Le détartrage dentaire est un soin d’entretien indispensable pour minimiser tout risque de gingivite, de maladies parodontales, de caries ainsi que d’halitose (mauvaise haleine).
Il ne s’agit pas d’un blanchiment des dents. Ce soin dentaire consiste à retirer la formation de tartre présente au-dessus et en-dessous de la gencive. En présence de tartre sous-gingival, le détartrage devra alors être associé à un traitement parodontal pour soigner l’os et la gencive qui sont toujours altérés dans ce cas.
ODONTOLOGIE CONSERVATRICE
La carie dentaire attaque la dent et compromet sa vitalité. Elle peut engendrer une rage de dents ou encore l’occurrence d’abcès dentaire. Le chirurgien-dentiste procède efficacement au dépistage et à la réparation des tissus abîmés.
Si la lésion est minime, une restauration à base de résine composite directement au fauteuil est suffisante. Si la lésion est trop étendue, cette restauration n’est pas assez solide. Il faut avoir recours à l’inlay/onlay. Il s’agit d’une pièce prothétique réalisée sur mesure au laboratoire de prothèse, soit en résine composite renforcée de poudre de céramique, soit entièrement en céramique. La précision d’usinage de cette pièce garantit sa solidité et son étanchéité sur la dent.
Dans des cas intermédiaires, la lésion est très proche de la pulpe (nerf de la dent) et nécessite un matériau spécifique qui préserve la vitalité de la dent. Cela évite de la dévitaliser, et améliore donc son pronostic à long terme.
Attention, nous ne recevons pas les mineurs non accompagnés
Prothèses Dentaires
Les prothèses dentaires permettent soit de renforcer et protéger une dent existante, soit de remplacer une dent absente. Il existe de nombreux types de prothèses. C’est votre chirurgien-dentiste référent qui est le plus à même de vous expliquer laquelle est la plus adaptée à votre situation, en fonction du bilan
de la consultation
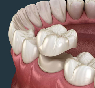
Les prothèses fixes
La couronne prothétique, la couronne la plus connue, permet de recouvrir des dents abîmées, cassées, dévitalisées ou sévèrement cariées et qui n’ont plus assez de structure dentaire saine pour recevoir une obturation en résine, un inlay/onlay ou une facette.
Ce type de couronne aide à solidifier et embellir ces dents, surtout dans le cas où plusieurs de leurs surfaces sont à reconstruire. Elle ressemble à une sorte de capuchon qui est cimenté par-dessus une dent
naturelle.
Pour envisager l’installation d’une couronne, il faut que la racine dentaire soit encore « utilisable ». Il est parfois nécessaire de fabriquer et d’installer un pivot, lequel sera ancré dans la racine de la dent avant l’installation de la couronne. Ce pivot peut être réalisé au laboratoire (inlay core) ou directement au fauteuil (tenon fibré).
Un bridge prothétique est une association de plusieurs couronnes. Il a pour but de remplacer une ou plusieurs dents manquantes. Cette solution est de moins en moins pratiquée depuis que les implants dentaires existent, car elle est beaucoup plus mutilante pour les dents, et donc moins pérenne.
Les prothèses amovibles
Ce type de prothèses, aussi appelés « appareils dentaires », permet de remplacer plusieurs dents. C’est une solution qui existe depuis très longtemps, mais dont la technicité a beaucoup évolué. Le laboratoire utilise des techniques numériques pour sa fabrication, ce qui accroît la précision et donc le confort du patient.




